症例紹介

症例紹介

【整形外科】 右大腿骨頭すべり症

投稿日 2025.03.21

最終更新日 2025.03.21

右大腿骨頭すべり症右大腿骨頭すべり症

右大腿骨頭すべり症右大腿骨頭すべり症

 

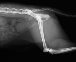
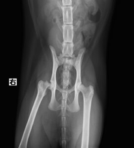
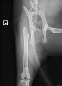
ジャンプした拍子に右後肢跛行とのことでかかりつけ医を受診後、セカンドオピニオンとして当院の整形外科に来院されました。若い雄猫に多く見られる「大腿骨頭すべり症」と診断。ご家族様と相談の上、骨頭切除を実施しました。経過は順調でしたが、その6ヶ月後に逆側も同様に骨折し、同治療を行いました。結果的に両側の骨頭切除が行われましたが、経過は良好です。

 

×
ご家族様向け チャットボット
×