English
アクセス
診療予約
03-3378-3366
En
電話
投稿日 2025.03.21
最終更新日 2025.03.21
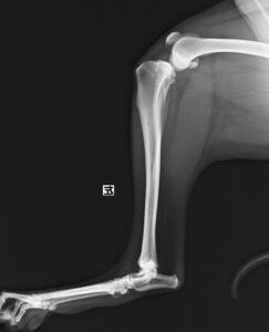
ジャンプした拍子に右後肢跛行とのことでかかりつけ医を受診後、セカンドオピニオンとして当院の整形外科に来院されました。若い雄猫に多く見られる「大腿骨頭すべり症」と診断。ご家族様と相談の上、骨頭切除を実施しました。経過は順調でしたが、その6ヶ月後に逆側も同様に骨折し、同治療を行いました。結果的に両側の骨頭切除が行われましたが、経過は良好です。
当院は年中無休で24時間救急診療に対応しています。ご家族様と動物たちへ「常に安心」をお届けします。
日本動物医療センターグループ本院
東京都渋谷区本町6-22-3(新宿駅から2駅の幡ヶ谷駅から徒歩7分)
通常電話受付:9:00〜20:00(水曜日休診)対応:i-pet損害保険、アニコム損保、ペット&ファミリー少額短期保険。各種クレジットカード
Japan Animal Medical Center 6-22-3 Honmachi Shibuya-ku, Tokyo
(c) JAPAN ANIMAL MEDICAL CENTER All Rights Reserved.